Ophtalmo-Laser Majorelle
Dr Oulmidi Anas

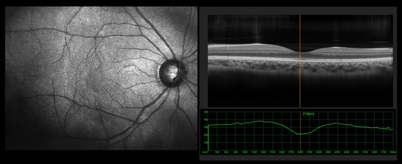
Imagerie Avancée (OCT)

Tomographie à Cohérence Optique pour une analyse précise de votre rétine et de votre nerf optique

Prendre rendez-vous

Qu'est-ce que l'OCT ?

La Tomographie à Cohérence Optique (OCT) est une technique d'imagerie médicale non invasive qui permet d'obtenir des coupes transversales de haute résolution des tissus oculaires.

Appareil d'OCT au cabinet Ophtalmo-Laser Majorelle

Une technologie de pointe pour votre santé visuelle

L'OCT utilise des ondes lumineuses pour créer des images détaillées de la rétine, permettant de visualiser chacune de ses couches distinctes. Cet examen est totalement indolore et ne nécessite aucun contact avec l'œil.

Grâce à cette technologie, notre équipe médicale peut détecter précocement des pathologies rétiniennes, évaluer l'épaisseur de la rétine et suivre l'évolution des maladies oculaires avec une précision inégalée.

  • Examen rapide et indolore
  • Pas de contact avec l'œil
  • Résultats immédiats
  • Imagerie de haute précision
  • Suivi précis des pathologies

Les avantages de l'OCT

Pourquoi choisir l'imagerie OCT pour votre suivi ophtalmologique

Détection Précoce

Permet de détecter les pathologies rétiniennes à un stade précoce, avant même l'apparition des symptômes.

Suivi Précis

Offre un suivi quantitatif et objectif de l'évolution des maladies, permettant d'adapter les traitements.

Non Invasif

Examen totalement indolore sans contact avec l'œil, sans dilatation pupillaire dans la plupart des cas.

Rapide et Efficace

Acquisition des images en quelques secondes avec des résultats disponibles immédiatement.

Indications de l'OCT

L'OCT est particulièrement utile pour le diagnostic et le suivi de nombreuses pathologies oculaires

Dégénérescence Maculaire Liée à l'Âge (DMLA)

Détection des drüsen, œdème maculaire, néovaisseaux et suivi des traitements.

Glaucome

Évaluation de l'épaisseur des fibres nerveuses et de la couche des cellules ganglionnaires.

Rétinopathie Diabétique

Détection de l'œdème maculaire diabétique et suivi sous traitement.

Occlusions Veineuses Rétiniennes

Évaluation de l'œdème maculaire et suivi de la réponse thérapeutique.

Troubles Vitréo-Rétiniens

Diagnostic des membranes épirétiniennes, trous maculaires et décollements rétiniens.

Pathologies du Nerf Optique

Évaluation dans les névrites optiques et autres neuropathies.

Kératocône

Analyse de la cornée avec l'OCT antérieur pour le diagnostic et le suivi.

Uvéites

Évaluation des complications maculaires dans les inflammations intraoculaires.

Prenez rendez-vous pour un examen OCT

Notre équipe est à votre disposition pour réaliser un bilan complet de votre santé oculaire avec les technologies les plus avancées.