Rétinographie et Champ Visuel
Examens spécialisés pour le dépistage et le suivi du glaucome, DMLA et maladies rétiniennes

Examens spécialisés pour une vision optimale
La rétinographie et l'examen du champ visuel sont des examens ophtalmologiques essentiels pour évaluer la santé de votre rétine et détecter précocement diverses pathologies oculaires.
Ces examens permettent de visualiser et d'analyser la rétine, le nerf optique et le champ visuel, offrant ainsi une évaluation complète de votre santé oculaire.
Nos examens spécialisés :
- Rétinographie numérique haute définition
- Champ visuel automatisé
- Angiographie rétinienne
- Dépistage du glaucome
- Suivi de la DMLA (Dégénérescence Maculaire Liée à l'Âge)
- Évaluation des maladies rétiniennes
Pourquoi ces examens sont-ils importants ?
Dépistage Précoce
Détection des pathologies oculaires avant l'apparition des symptômes
Suivi Personnalisé
Évaluation précise de l'évolution des maladies chroniques
Prévention
Identification des facteurs de risque pour préserver votre vision
Documentation
Archivage numérique pour comparaison lors des consultations futures
Pathologies détectées et suivies
Glaucome
Maladie dégénérative du nerf optique qui entraîne une perte progressive de la vision
DMLA
Dégénérescence Maculaire Liée à l'Âge affectant la vision centrale
Rétinopathie Diabétique
Complication du diabète affectant les vaisseaux sanguins de la rétine
Occlusions Veineuses Rétiniennes
Obstruction des veines de la rétine pouvant entraîner une baisse de vision
Décollement de Rétine
Séparation de la rétine de son support nécessitant une intervention urgente
Pathologies Héréditaires
Maladies génétiques affectant la rétine comme la rétinite pigmentaire

Comment se déroulent ces examens ?
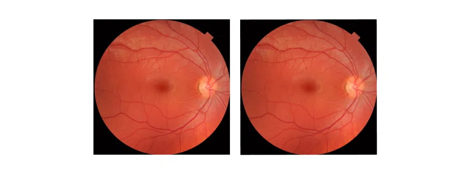
Rétinographie
La rétinographie est un examen rapide et indolore qui permet de photographier le fond de l'œil. Après dilatation de la pupille, un appareil spécialisé prend des clichés haute définition de votre rétine.
Champ Visuel
L'examen du champ visuel évalue votre vision périphérique. Vous serez assis devant un appareil et devrez appuyer sur un bouton chaque fois que vous percevrez une lumière dans votre champ de vision.
Durée et préparation
Ces examens durent généralement entre 15 et 30 minutes chacun. Pour la rétinographie, des gouttes seront instillées pour dilater vos pupilles, ce qui peut temporairement rendre votre vision floue et sensible à la lumière.
Programmer un examen